МРТ-система для конечностей Esaote O-scan





Описания
O-scan – это новая высококлассная МРТ-система для конечностей, она предлагает широкий выбор функций для высококачественной визуализации конечностей, вместе с тем обеспечивая оптимальное удобство для пациента, благодаря уникальному эргономичному и открытому дизайну. Она является идеальным ответом на современные требования медицины: удобство для пациентов, качество, быстрое время обследования и эффективная организация рабочего процесса.
O-scan сохраняет традицию Esaote по обеспечению наивысшего качества изображений, простоты визуализации и удобства для пользователя. Высокопроизводительная система O-scan обеспечивает впечатляющее качество визуализации и экономичное функционирование с низким порогом рентабельности: с системой может работать только один оператор.
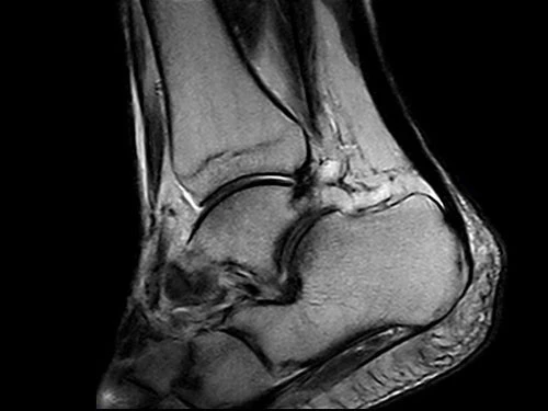
Система оснащена очень компактным магнитом с удобным стулом для пациента и охватывает все конечности и суставы: колена, голени, лодыжки, ступни, руки, запястья, предплечья и локти. Она гарантирует максимальный комфорт, отсутствие клаустрофобии и работает от стандартной настенной розетки.
В системе O-scan принята во внимание потребность в более высокой пропускной способности в условиях радиологического и ортопедической практики. Ее с легкостью можно использовать в сочетании со сканерами всего тела в отделения радиологии, освобождая время для основных клинических случаев, что позволяет улучшать рабочий процесс и обеспечивать оптимальное удобство для пациента. В ортопедических центрах система может обеспечить прямой доступ к МРТ без необходимости в назначении другого посещения, что экономит как время, так и деньги для пациента и медицинского учреждения. С O-scan, позволяющей осуществить быстрый переход к МРТ нижних конечностей, вы сможете преодолеть традиционные барьеры.
Технические характеристики:
Тип магнита: открытый, с постоянный с полем 0.31Tesla.
Max ВЧ (RF) энергия: 1500 W.
Тип выравнивание поля (Shimming): пассивный.
Градиенты (Gradient): ±20 mT/m.
Скорость нарастания (Slew rate): 56 mT/m/ms.
Поле обследования (FOV): 14 cm.
Тип выравнивание поля (Shimming): пассивный.
Градиенты (Gradient): ±20 mT/m.
Скорость нарастания (Slew rate): 56 mT/m/ms.
Поле обследования (FOV): 27 cm.
Энергопотребление: 1 kW (max) при 220/110 V (обычная розетка).
Экранирование (Faraday Сage): не требуется.
Катушки: полный комплект « Dual Phasesd Array» катушек.
Площадь помещения: минимум 8,96 m2.











