МРТ-система для конечностей O-Scan








Описания
O-scan – это долгожданная высококлассная МРТ-система для конечностей.
O-scan предлагает широкий выбор функций для высококачественной визуализации конечностей, вместе с тем обеспечивая оптимальное удобство для пациента, благодаря уникальному эргономичному и открытому дизайну.
Данная система предназначенная для диагностических центров с большим потоком пациентов, где требуются оптимизированные рабочие процессы и самые передовые технологии.
O-scan: динамическая МРТ
Система Esaote для динамической МРТ способна выявлять скрытые ущемления, которые трудно или невозможно обнаружить с помощью стандартной статической МРТ. Функциональная оценка обеспечивает дополнительный инструмент для более качественного обслуживания пациентов, особенно в спортивной медицине высокого уровня.
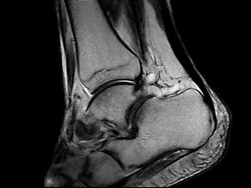
O-scan Впечатляющее качество изображения
Высокопроизводительная система O-scan обеспечивает впечатляющее качество визуализации и экономичное функционирование с низким порогом рентабельности: с системой может работать только один оператор.
O-scan Сила в комфорте
Система оснащена очень компактным магнитом с удобным стулом для пациента и охватывает все конечности и суставы: колена, голени, лодыжки, ступни, руки, запястья, предплечья и локти.
Она гарантирует максимальный комфорт, отсутствие клаустрофобии и работает от стандартной настенной розетки.
Система O-scan имеет следующие функции и возможности:
Не требующий обслуживания, открытый постоянный магнит
Поле Тесла 0,31
Эргономичный дизайн для максимального комфорта пациента (без клаустрофобии)
Полный набор специальных катушек DPA
Камера радиочастотной защиты не требуется
Все последовательности изображений, используемые в настройках для костно-мышечной системы
Полный набор предварительно установленных последовательностей и протоколов
Многоплоскостное предварительное сканирование
Большой выбор средств для визуализации изображения, анализа и обработки
O-scan – технология, работающая для вас











